어린이 교정
  • 송곳니 날 공간이 부족해요
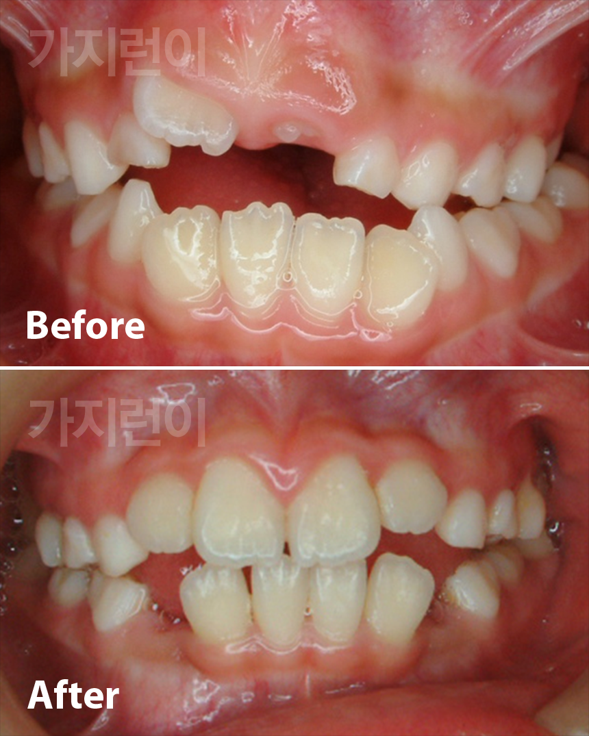
  • 영구치 날 공간이 부족해요
  • 이가 반대로 물리고 아래턱이 나왔어요
  • 앞니가 반대로 물려요
  • 한쪽 어금니가 반대로 물리고 영구치 날 공간이 부족해요
  • 혀내밀기습관
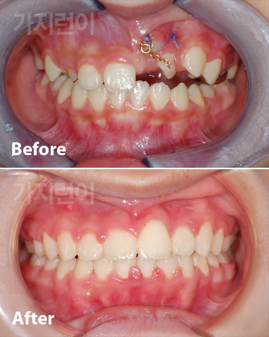
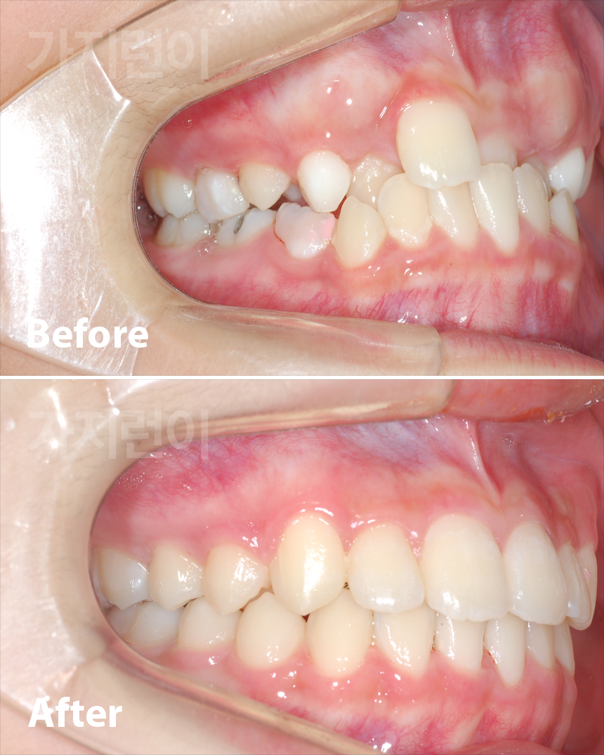
  • 매복된치아배열
  • 앞니가 반대로 물리고 비뚤어요
  • 송곳니 날 공간이 부족해요

닫기
  • 영구치 날 공간이 부족해요

  • 영구치 날 공간이 부족해요

닫기
  • 이가 반대로 물리고 아래턱이 나왔어요

  • 이가 반대로 물리고 아래턱이 나왔어요

닫기
  • 앞니가 반대로 물려요

  • 앞니가 반대로 물려요

닫기
  • 한쪽 어금니가 반대로 물리고 영구치 날  공간이 부족해요

닫기
  • 혀내밀기습관

닫기
  • 매복된치아배열

닫기
  • 앞니가 반대루 물리고 비뚤어요

  • 앞니가 반대루 물리고 비뚤어요

  • 앞니가 반대루 물리고 비뚤어요

닫기