개방교합
  • 앞니로 면을 끊을 수 없어요
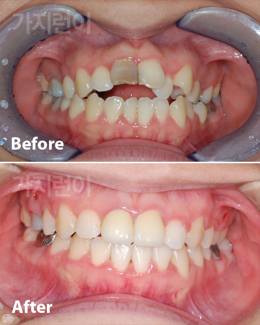
  • 앞니가 서로 안맞물려요
  • 위아래 앞니가 닿지 않아요
  • 이가 맞물리지 않고 불규칙해요
  • 앞니가 닿지않고 불규칙해요
  • 혀내미는 습관, 불규칙한치아
  • 앞니로 면을 끊을 수 없어요

닫기
  • 앞니가 서로 안맞물려요

  • 앞니가 서로 안맞물려요

닫기
  • 위아래 앞니가 닿지 않아요

  • 위아래 앞니가 닿지 않아요

닫기
  • 앞니가 맞물리지 않고 불규칙해요

  • 앞니가 맞물리지 않고 불규칙해요

  • 앞니가 맞물리지 않고 불규칙해요

  • 앞니가 맞물리지 않고 불규칙해요

  • 앞니가 맞물리지 않고 불규칙해요

닫기
  • 앞니가 닿지않고 불규칙해요

닫기
  • 혀내미는 습관, 불규칙한 치아

  • 혀내미는 습관, 불규칙한 치아

닫기