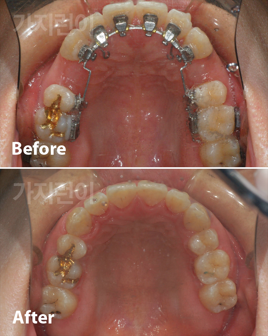
설측교정
  • 설측 콤비교정
  • 설측 발치교정
  • 설측교정
  • 설측 콤비교정

  • 설측 콤비교정

닫기
  • 설측 발치교정

  • 설측 발치교정

닫기
  • 설측교정

닫기