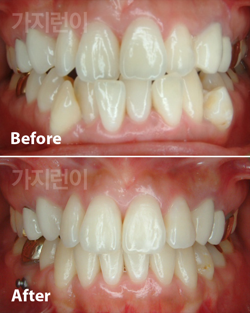
덧니 교정
  • 덧니가 심해요
  • 송곳니가 잇몸에서 나와요
  • 윗니가 울퉁불퉁해요
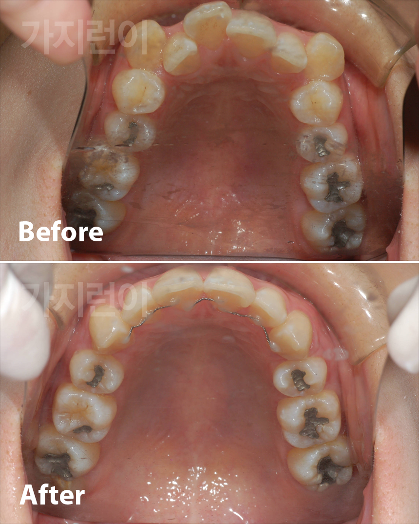
  • 이가 맞물리지 않고 비뚤어요
  • 덧니,불규칙한치아
  • 이가 잇몸에서 나와요
  • 송곳니가 덧니예요
  • 덧니가 심해요

  • 덧니가 심해요

닫기
  • 송곳니가 잇몸에서 나와요

  • 송곳니가 잇몸에서 나와요

  • 송곳니가 잇몸에서 나와요

닫기
  • 윗니가 울퉁불퉁해요

닫기
  • 이가 맞물리지 않고 비뚤어요

  • 이가 맞물리지 않고 비뚤어요

닫기
  • 덧니, 불규칙한 치아

  • 덧니, 불규칙한 치아

  • 덧니, 불규칙한 치아

닫기
  • 이가 잇몸에서 나와요

  • 이가 잇몸에서 나와요

닫기
  • 송곳니가 덧니에요

  • 송곳니가 덧니에요

닫기