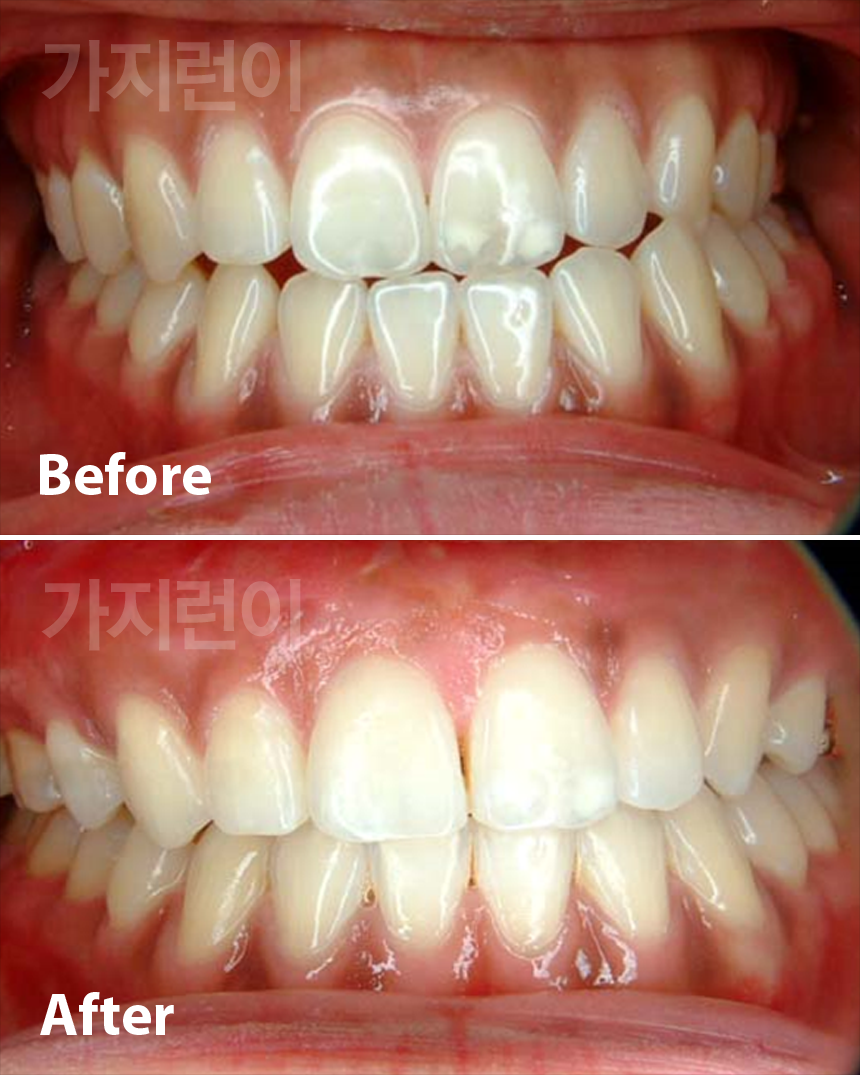
보철교정
  • 개방교합과 주걱턱을 동반한 얼굴비대칭
  • 얼굴비대칭과  돌출입 수술교정
  • 주걱턱 수술교정
  • 개방교합과 주걱턱을 동반한 얼굴비대칭

  • 개방교합과 주걱턱을 동반한 얼굴비대칭

  • 개방교합과 주걱턱을 동반한 얼굴비대칭

  • 얼굴비대칭과 돌출입 수술교정

  • 얼굴비대칭과 돌출입 수술교정

  • 얼굴비대칭과 돌출입 수술교정

닫기
  • 주걱턱 수술교정

  • 주걱턱 수술교정

  • 주걱턱 수술교정

닫기