수술교정
  • 선천적으로 결손된 두개의 작은 어금니 공간의 폐쇄
  • 소실된 앞니 공간의 폐쇄
  • 결손치공간폐쇄
  • 썩은치아 발치 후 임플란트 안하는 교정
  • 선천적으로 결손된 두개의 작은 어금니 공간의 폐쇄

닫기
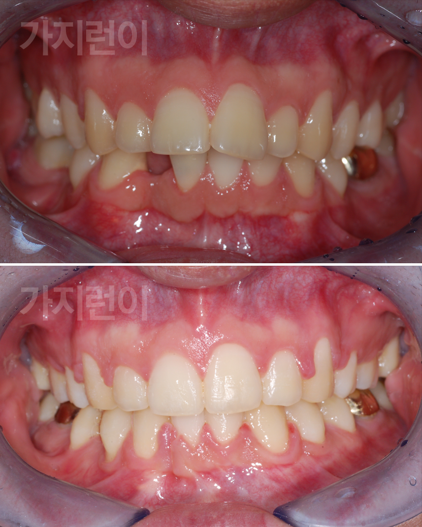
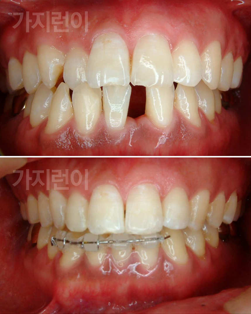
  • 소실된 앞니 공간의 폐쇄

닫기
  • 결손치공간폐쇄

  • 결손치공간폐쇄

닫기
  • 썩은치아 발치 후 임플란트 안하는 교정

닫기